#спасли ребенка
Девочку в одном памперсе спас от обморожения житель Семея
- 6 Октября 2022
- 246
В Атырау полицейские спасли двухлетнего ребёнка
- 5 Июня 2022
- 88
Спасатели вызволили полугодовалую девочку из плена... детского стула
- 16 Января 2022
- 71
В Алматы на озере Сайран спасли тонувшего подростка
- 19 Июля 2021
- 54
Глава государства наградил турецкого врача, который спас жизнь младенцу из Казахстана
- 20 Мая 2021
- 444
В ВКО 12-летний мальчик застрял между скал
- 17 Мая 2021
- 73
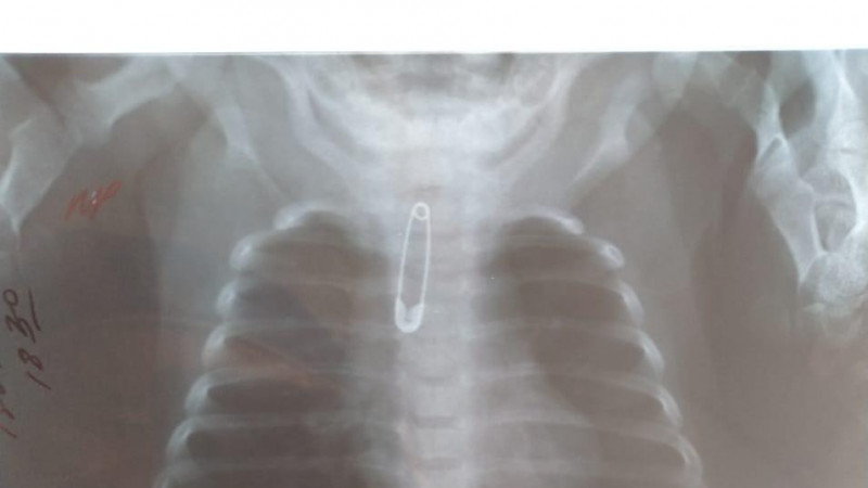
В Шымкенте врачи спасли малышку, в горле которой застряла булавка
- 16 Апреля 2021
- 82
В Атырау полицейский спас 7-летнего ребенка
- 15 Апреля 2021
- 196
В Атырау спасли девочку от предполагаемого педофила
- 7 Августа 2020
- 71
В столице спасли тонущего ребенка
- 13 Июля 2020
- 95